Unter Refluxkrankheit versteht man Beschwerden, die entweder im mittleren Brustbereich und / oder im mittleren bis obersten Bauchbereich empfunden werden und / oder entzündliche Veränderungen der Speiseröhre (Refluxösophagitis), deren Ursache in einer verstärkten Magensäurebelastung der Speiseröhrenschleimhaut liegt. Man unterscheidet eine Refluxkrankheit mit und ohne Speiseröhrenentzündung auch gastro-ösophageale Refluxkrankheit mit Speiseröhrenentzündung (GERD) und ohne Speiseröhrenentzündung (NERD)
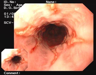
Die Diagnose wird durch die Erhebung (Anamnese) des typischen Beschwerdebildes beim Arzt gestellt. Der behandelnde Arzt trifft mit dem Patienten zusammen aufgrund der Beschwerden die Entscheidung zu weiterführenden diagnostischen Maßnahmen. Die wichtigste Maßnahme ist die Speiseröhren-Magenspiegelung (Ösophago-Gastro-Duodenoskopie). Eine Spiegelung ist immer dann notwendig, wenn die Beschwerden (schmerzhaftes Schlucken, also Dysphagie), Blutung (Kaffeesatzerbrechen), Husten, Hochwürgen von Speise (Regurgitation) und Behinderung oder Steckenbleiben der Speise auf eine Komplikation hindeuten oder wenn die Beschwerden auf einen ausreichenden Behandlungsversuch nicht ansprechen. Bei häufigen und lange bestehenden Beschwerden ist ebenfalls eine Spiegelung dringend anzuraten.
Die Refluxerkrankung zählt heute zu den häufigsten Erkrankungen. Sie ist seit Jahren im Steigen begriffen und rangiert nach Reizmagen und Reizdarm an zweiter Stelle. Jeder dritte oder vierte Bürger in Deutschland leidet mindestens einmal im Jahr unter Refluxbeschwerden
Die typischen Beschwerden einer Refluxkrankheit bestehen im Sodbrennen (saures Brennen hinter dem Brustbein) und saures Aufstoßen bis in den Luftröhrenbereich. Diese Beschwerden können sich sowohl tagsüber als auch nachts bemerkbar machen. Nur wenige Betroffene suchen einen Arzt auf, da es sich häufig nur um gelegentliche Beschwerden handelt.
Wenn der Schmerz das führende Symptom ist, muss immer an das Vorliegen einer Herzkranzgefäßerkrankung gedacht werden (Herzinfarkt !). In manchen Fällen können Beschwerden von Seiten der Atemwege (Husten, Atemnot, Asthmaanfall) und des Kehlkopfes (Heiserkeit) auftreten. Kommt es zu Komplikationen einer Refluxkrankheit (Verengung, Blutung, Geschwürsbildung), dann tritt eine schmerzhafte Passage des Speisebreis auf (Dysphagie), die in fortgeschrittenen Stadien bis zum Steckenbleiben des Speisebreis mit Schmerzen, Speichelfluss, Husten und Würgereiz führt. Bei Blutungen kann Blut oder "Kaffeesatz" (braunes Blut) erbrochen werden.

Bei Beschwerden im Sinne der Refluxerkrankung mit und ohne Entzündung ist die erste Therapie die Gabe eines magensäurereduzierenden Medikamentes. In der Regel ist nach dieser Zeit die Entzündung abgeheilt, häufig sind jedoch die Beschwerden nicht verschwunden. Aus diesem Grunde ist eine Langzeittherapie notwendig, die sich an den Beschwerden ausrichtet und in der Regel mit einer geringeren Dosis effektiv ist.
Als Alternative der medikamentösen Therapie besteht die Möglichkeit, auf operativem Weg mechanisch die Verschlussfunktion des unteren Ösophagussphinkters zu unterstützen. Dabei bestehen derzeit zwei unterschiedliche Zugangsverfahren. Die eine versucht, auf endoskopischem Wege (ÖGD) durch Naht, Hitze oder Implantation von Fremdmaterial den Verschluss zum Magen hin zu verbessern, die andere Methode erhöht über einen Zugang zum Bauchraum (Laporoskopische Fundoplikatio) den Verschlussdruck am Mageneingang.
Man spricht von einem Barrett-Ösophagus, wenn sich im unteren Teil der Speiseröhre statt Plattenepithel Magenschleimhaut (Zylinderepithel) befindet. Aus diesem Grunde kann diese Diagnose nur durch eine Spiegelung mit Gewebeprobenentnahme gestellt werden. Der Barrett-Ösophagus hat wegen seines Potenzials der Entstehung von Krebs in den letzten Jahren verstärkte Aufmerksamkeit erfahren. Das Risiko, Krebs in der unteren Speiseröhre zu entwickeln, ist dann besonders hoch, wenn sich in den Gewebeproben Veränderungen von Krebsvorstufen (Dysplasie) finden. Nach Forschungsergebnissen scheint das längere Vorhandensein einer Refluxerkrankung zur Entstehung des Barrett-Ösophagus mit beizutragen.